Zęby w 1 dzień

Warto wiedzieć

Odzyskaj pełny uśmiech i komfort życia

Chirurgia stomatologiczna Jura Clinic Wolbrom

Zapisz się.

Oddzwonimy do 24h, aby uzgodnić termin konsultacji implantologicznej

Procedura „Ząb w 1 dzień”

to procedura implantoprotetyczna skierowana do pacjentów wymagających natychmiastowego uzupełnienia zęba w przypadku braku możliwości wykonania konwencjonalnej protetyki na zębie własnym.
Cała procedura wykonywana jest na 1 wizycie. Czas zabiegu ok. 2 godziny.
implanty zębów wolbrom olkusz miechów

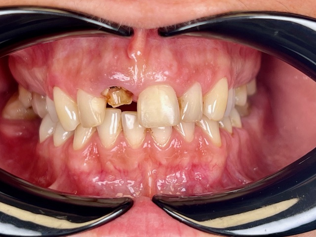
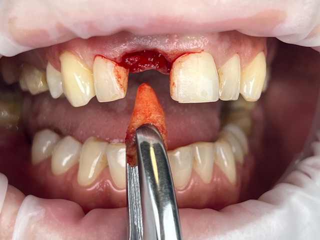
Etap 1

Ekstrakcja korzenia

Ekstrakcja korzenia to zabieg chirurgiczny polegający na usunięciu zęba, którego korona uległa zniszczeniu lub została wcześniej złamana. Znieczulamy miejsce zabiegu, a następnie za pomocą specjalnych narzędzi odsłaniamy i usuwamy pozostały w kości korzeń, dbając o dokładne oczyszczenie zębodołu. Dzięki temu zapobiega się stanom zapalnym i przygotowuje miejsce do dalszego leczenia.

ekstrakcja korzenia -implanty zębów wolbrom olkusz miechów

Etap 2

Natychmiastowa implantacja

Natychmiastowa implantacja to zabieg, w którym implant zębowy wszczepiany jest bezpośrednio po usunięciu zęba, podczas tej samej wizyty. Dzięki temu pacjent unika długiego oczekiwania na wygojenie się miejsca po ekstrakcji, a tkanki miękkie i kostne lepiej zachowują naturalny kształt. Zabieg wykonywany jest w znieczuleniu miejscowym i pozwala szybciej rozpocząć proces odbudowy estetyki oraz funkcji zęba.

natychmiastowa implantacja - implanty zębów wolbrom olkusz miechów

Etap 3

Augmentacja kości

Augmentacja kości to zabieg stomatologiczny polegający na odbudowie utraconej lub niewystarczającej tkanki kostnej w szczęce lub żuchwie. Wykorzystuje się do tego specjalne materiały kościozastępcze lub przeszczepy własnej kości pacjenta. Celem zabiegu jest wzmocnienie podłoża kostnego, aby możliwe było bezpieczne wszczepienie implantów i zachowanie prawidłowej estetyki uśmiechu.

augmentacja kości - implanty zębów wolbrom olkusz miechów

Etap 4

Obciążenie implantem

Natychmiastowe obciążenie implantu polega na tym, że zaraz po wszczepieniu implantu lekarz przykręca do niego łącznik tymczasowy, a następnie mocujemy koronę tymczasową. Dzięki temu pacjent wychodzi z gabinetu z uzupełnieniem protetycznym już tego samego dnia, zachowując estetykę uśmiechu i komfort żucia. Rozwiązanie to skraca czas leczenia i pozwala uniknąć okresu bez zęba, przy zachowaniu bezpieczeństwa gojenia implantu.

Natychmiastowe obciążenie implantu poprzez przykręcenie łącznika tymczasowego

Etap 5

Korona tymczasowa

Przykręcenie do implantu tymczasowej korony kompozytowej to zabieg, w którym na wszczepiony implant mocuje się koronę z materiału kompozytowego. Zapewnia to natychmiastowy efekt estetyczny – pacjent nie pozostaje bez zęba, a jednocześnie korona tymczasowa chroni implant i dziąsło w trakcie procesu gojenia przed wykonaniem korony docelowej.

zęby w 1 dzień - implanty zębów wolbrom olkusz miechów

Po okresie osteointegracji implantu (3-4 miesięcy), korona tymczasowa zamieniana jest na koronę ostateczną. 

Chcę wcześniej omówić zabieg ze specjalistą dr.n.med.Michałem Górnickim

Podczas konsultacji dowiesz się czy jesteś zakwalifikowany do szybkiego zabiegu oraz otrzymasz plan leczenia.

Pytania & Odpowiedzi

Tak, cały zabieg przeprowadzany jest w znieczuleniu miejscowym, dzięki czemu pacjent nie odczuwa bólu. Po ustąpieniu znieczulenia może pojawić się lekki dyskomfort, który zwykle ustępuje po 1–2 dniach i można go łatwo złagodzić środkami przeciwbólowymi.

Nie zawsze. Decyzję podejmuje lekarz po dokładnym badaniu jamy ustnej i wykonaniu tomografii komputerowej. Najważniejszym warunkiem jest odpowiednia ilość i jakość kości, a także brak aktywnego stanu zapalnego.

Augmentacja kości to odbudowa brakującej tkanki kostnej specjalnymi materiałami lub przeszczepem. Stosuje się ją wtedy, gdy kość jest zbyt cienka lub zbyt niska, aby stabilnie osadzić implant. Dzięki temu implant ma solidne podparcie i lepiej się zrasta.

Tak, pod warunkiem że implant został stabilnie wszczepiony. Lekarz przykręca tymczasowy łącznik i koronę, które pozwalają na estetyczny efekt i normalne funkcjonowanie, jednocześnie nie obciążając implantu nadmiernie w pierwszych tygodniach gojenia.

Korona tymczasowa zwykle noszona jest przez kilka miesięcy – do czasu pełnego wygojenia implantu i dziąsła. Następnie zastępuje się ją koroną docelową cyrkonową, która jest trwalsza i bardziej estetyczna.

Stała korona wykonywana jest zwykle po 3–6 miesiącach, kiedy implant w pełni zrośnie się z kością. Najczęściej stosuje się korony z porcelany na cyrkonie lub pełnoceramiczne, ponieważ są bardzo trwałe i wyglądają jak naturalne zęby.
💰 Koszty:

  • Korona cyrkonowa na implancie (z łącznikiem) – 3500 zł

  • (alternatywnie inne korony – np. porcelanowa na cyrkonie od 2000 zł, pełnoceramiczna 2500 zł – w zależności od sytuacji klinicznej)

Należy dbać o higienę jamy ustnej tak jak o własne zęby – delikatne szczotkowanie miękką szczoteczką, nitkowanie oraz płukanie zalecone przez lekarza. Warto unikać bardzo twardych pokarmów w miejscu implantu do czasu założenia korony stałej. Regularne wizyty kontrolne są kluczowe dla powodzenia leczenia.

Skontaktuj się z nami i przekonaj się, czym jest nowoczesna stomatologia.

Jura Clinic Rejestracja

Nasze ponad 20- letnie doświadczenie w dziedzinie stomatologii stało się podstawą do stworzenia wyjątkowego miejsca w zakresie profesjonalizmu usług medycznych, a także holistycznego podejścia do każdego pacjenta.

Godziny otwarcia

Kontakt

Miechowska 109,
32-340 Wolbrom

+48 504 517 454

recepcja@juraclinic.pl