Konsultacja ortodontyczna

Strona główna / Konsultacja ortodontyczna

3 POWODY DLA KTÓRYCH WARTO ROZPOCZĄĆ LECZENIE KOMPLEKSOWE NIEZALEŻNIE OD WIEKU

  1. Inwestujesz w zdrowie i komfort życia

  2. Proste zęby to mniej próchnicy, lepsze czyszczenie i mniej chorób dziąseł

  3. Lepsze żucie, mniejsze napięcie mięśni, ulga dla stawów

Estetyka to zadbany uśmiech to większa pewność siebie.

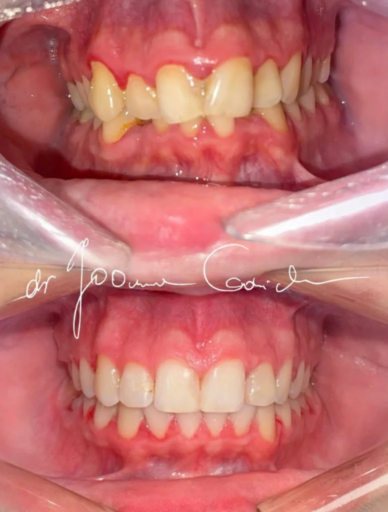
U pacjenta na zdjeciu (metamorfoza) najpierw przeprowadzono leczenie ortodontyczne na aparacie zwykłym metalowym, które trwało 15 miesięcy ,a później wykonano bonding.

Leczenie ortodontyczne przeprowadziła lek.dent Joanna Górnicka a Bonding wykonała lek.dent.Aleksandra Strączek

Zapraszamy na konsultacje do Jura Clinic i zobacz jak możemy zmienić Twoje życie ♥️

Zapisz się.

Oddzwonimy do 24h, aby uzgodnić termin konsultacji ortodontycznej

Dlaczego warto skorzystać z konsultacji? 

  •  Dokładna analiza zgryzu i ustawienia zębów
  • Plan leczenia i czas jego trwania

  •  Poznanie dostępnych metod

  • Orientacyjny koszt terapii

Cena konsultacji ortodontycznej tylko 200 zł
(badanie + plan leczenia)

Zapraszam na konsultacje ortodontyczne.
lek.dent. Joanna Górnicka

dr Joanna Górnicka Orotoncja Wolbrom

Niektóre wyleczone przypadki

przed i po ortodoncja 1
przed i po ortodoncja 3
metamorfoza jura clinic ortodoncja
metamorfoza jura clinic ortodoncja2
metamorfoza jura clinic ortodoncja3

Zobacz wiele więcej przypadków w naszych social mediach

Ortodoncja dziecięca

Leczenie ortodontyczne dzieci – podejście holistyczne

W naszym gabinecie leczymy holistycznie, patrząc na pacjenta całościowo. Wiemy, że wady zgryzu często są powiązane z wadami postawy, dlatego współpracujemy z doświadczonymi specjalistami – laryngologiem, logopedą oraz fizjoterapeutą. Dzięki temu możemy zapewnić pełne i skuteczne wsparcie w procesie leczenia.

Naszym atutem jest uważność i dokładność – dostrzegamy to, co często umyka innym. Wprowadzamy również specjalistyczne ćwiczenia Gopex, które wspomagają terapię w sytuacjach, gdy pacjent wymaga dodatkowego wsparcia.

Takie podejście pozwala nam skutecznie korygować nie tylko wady zgryzu, ale także wspierać prawidłowy rozwój całego organizmu dziecka.

To najlepszy moment, aby wcześnie zadbać o prawidłowy rozwój zgryzu i piękny uśmiech dziecka. Wczesna konsultacja pozwala wykryć i korygować wady zanim się pogłębią, co znacznie ułatwia późniejsze leczenie.

W naszej ofercie:

  • konsultacje ortodontyczne dla dzieci,

  • aparaty ruchome i profilaktyczne,

  • kontrola rozwoju zębów i szczęk,

  • indywidualnie dopasowany plan leczenia.

ortodoncja dziecieca1

Pytania & Odpowiedzi

Konsultacja ortodontyczna to pierwsze spotkanie z ortodontą, którego celem jest ocena zgryzu i ustawienia zębów pacjenta. Podczas wizyty lekarz przeprowadza szczegółowy wywiad, ogląda jamę ustną, a często także wykonuje dodatkowe badania (dodatkowo płatne) – m.in. zdjęcia RTG (panoramiczne i cefalometryczne) czy pobranie wycisków. Dzięki temu może dokładnie określić rodzaj wady zgryzu oraz zaproponować najlepsze metody leczenia.

W trakcie konsultacji pacjent otrzymuje plan leczenia, przewidywany czas jego trwania oraz informacje o dostępnych aparatach ortodontycznych i kosztach terapii. To także okazja do zadania pytań i rozwiania wszelkich wątpliwości dotyczących leczenia ortodontycznego.

Pierwsza wizyta u ortodonty to tzw. konsultacja. Podczas niej lekarz:

  • przeprowadza rozmowę na temat oczekiwań pacjenta i ewentualnych problemów ze zgryzem,

  • dokładnie ogląda jamę ustną, ocenia ułożenie zębów i relacje szczęk,

  • często zleca wykonanie zdjęć RTG (panoramicznego i cefalometrycznego) oraz skanów lub modeli diagnostycznych,

  • przedstawia wstępną diagnozę i możliwe metody leczenia,

  • omawia orientacyjny czas i koszty terapii.

To spotkanie pozwala pacjentowi dowiedzieć się, czy i jakie leczenie ortodontyczne będzie potrzebne oraz jak będzie ono przebiegało.

Konsultacja ortodontyczna (badanie, plan leczenia) – 200 zł
 
2 zdjęcia RTG (zdjęcie cefalometryczne i panoramiczne – możesz zabrać swoje zdjęcia jeśli nie są starsze niż 6 miesięcy )  – 200 zł
 
Modele diagnostyczne100 zł

Do konsultacji ortodontycznej nie trzeba specjalnych przygotowań, ale warto:

  • zadbać o dokładne umycie zębów przed wizytą,

  • zabrać ze sobą wcześniejsze zdjęcia RTG, jeśli były wykonywane,

  • przygotować listę pytań lub wątpliwości dotyczących leczenia,

  • u dzieci – przynieść książeczkę zdrowia lub dokumentację medyczną (jeśli jest).

Dzięki temu ortodonta będzie mógł szybciej i dokładniej ocenić sytuację, a pacjent uzyska pełniejsze informacje o możliwościach leczenia.

Leczenie ortodontyczne aparatem stałym klasycznym zwykle trwa od 18 do 30 miesięcy, w zależności od rodzaju i nasilenia wady zgryzu, wieku pacjenta oraz współpracy podczas terapii (regularne wizyty, przestrzeganie zaleceń higienicznych i dietetycznych). W niektórych prostszych przypadkach leczenie może zakończyć się szybciej, a przy skomplikowanych wadach – potrwać dłużej.

👉 Dokładny czas leczenia ustalany jest indywidualnie po konsultacji i analizie diagnostycznej.

Tak – podczas konsultacji ortodonta po zebraniu wywiadu, badaniu jamy ustnej oraz analizie zdjęć RTG i modeli diagnostycznych przedstawia wstępny plan leczenia. Zawiera on proponowaną metodę terapii, przewidywany czas jej trwania oraz orientacyjne koszty. Ostateczny, szczegółowy plan leczenia ustalany jest po pełnej diagnostyce.

Tak. Przed rozpoczęciem leczenia ortodontycznego zwykle konieczne są dodatkowe badania, takie jak zdjęcie panoramiczne i cefalometryczne, a czasem także modele diagnostyczne. Dzięki nim ortodonta może dokładnie ocenić budowę szczęk, pozycję zębów i zaplanować skuteczne leczenie.

Wizyty kontrolne w trakcie leczenia ortodontycznego odbywają się zazwyczaj co 4–8 tygodni. Ich częstotliwość zależy od rodzaju aparatu i etapu leczenia – regularne kontrole są niezbędne, aby monitorować postępy i wprowadzać potrzebne korekty.

Nie – podczas pierwszej konsultacji ortodontycznej aparat nie jest zakładany. Najpierw konieczne są badania diagnostyczne (zdjęcia RTG, modele), na podstawie których lekarz przygotowuje plan leczenia. Dopiero na kolejnej wizycie możliwe jest założenie aparatu.

Cena konsultacji ortodontycznej tylko 200 zł
(badanie + plAn leczenIA)

Opinie naszych pacjentów

Jura Clinic by Górniccy Wolbrom

Miałem leczenie ortodontyczne w Jura Clinic i jestem bardzo zadowolony z efektów. Profesjonalna obsługa, miła atmosfera i podejście do pacjenta na wysokim poziomie. Cały proces przebiegł sprawnie, a personel zawsze służył pomocą i odpowiadał na wszystkie pytania. Polecam każdemu, kto szuka dobrej kliniki ortodontycznej.

awatar google
FIFLAKK

Bardzo dobra przychodnia, wysoki poziom badania i opieki nad pacjentem. Kadra wykwalifikowanych i serdecznych ludzi. Cieszę się że trafiliśmy do tej kliniki. Bardzo polecam

Martyna Czapla

Bardzo polecam tę klinikę. Efekt leczenia ortodontycznego jest dokładnie taki, jaki chciałam uzyskać. Cały proces przebiegł bardzo sprawnie, w niezwykle przyjaznej atmosferze.

Awatar google opinia
Helena Myszewska

Szczerze, gdyby się dało to bym dał 10 gwiazdek. Powiedzieć,, że jest tu profesjonalna obsługa to jakby nic nie powiedzieć. Absolutnie świetne podejście do pacjenta. Profesjonalizm, kultura i doświadczenie na najwyższym poziomie. Z całego serca polecam.

Sempe Invicta

Podejście indywidualne do każdego pacjenta oraz indywidualnie dobrane leczenie do przypadku. P. Joanna i P. Michał sa niezastąpieni wraz ze swoim zespołem. Clinika cechuje się ogromną empatią zarówno w leczeniu standardowym jak i ortodontycznym.

Katarzyna Nowak

Gdzie jesteśmy?

Wolbrom, Miechowska 109

Jura Clinic Wolbrom Gabinety stomatologiczne 1
Aktualności z Jura Clinic Wolbrom Gabinety stomatologiczne 1

Skontaktuj się z nami i przekonaj się, czym jest nowoczesna stomatologia.

Jura Clinic Rejestracja